mamesnova177.ru
mamesnova177.ru

1.25 _ 12 _ 3 (95) 사진

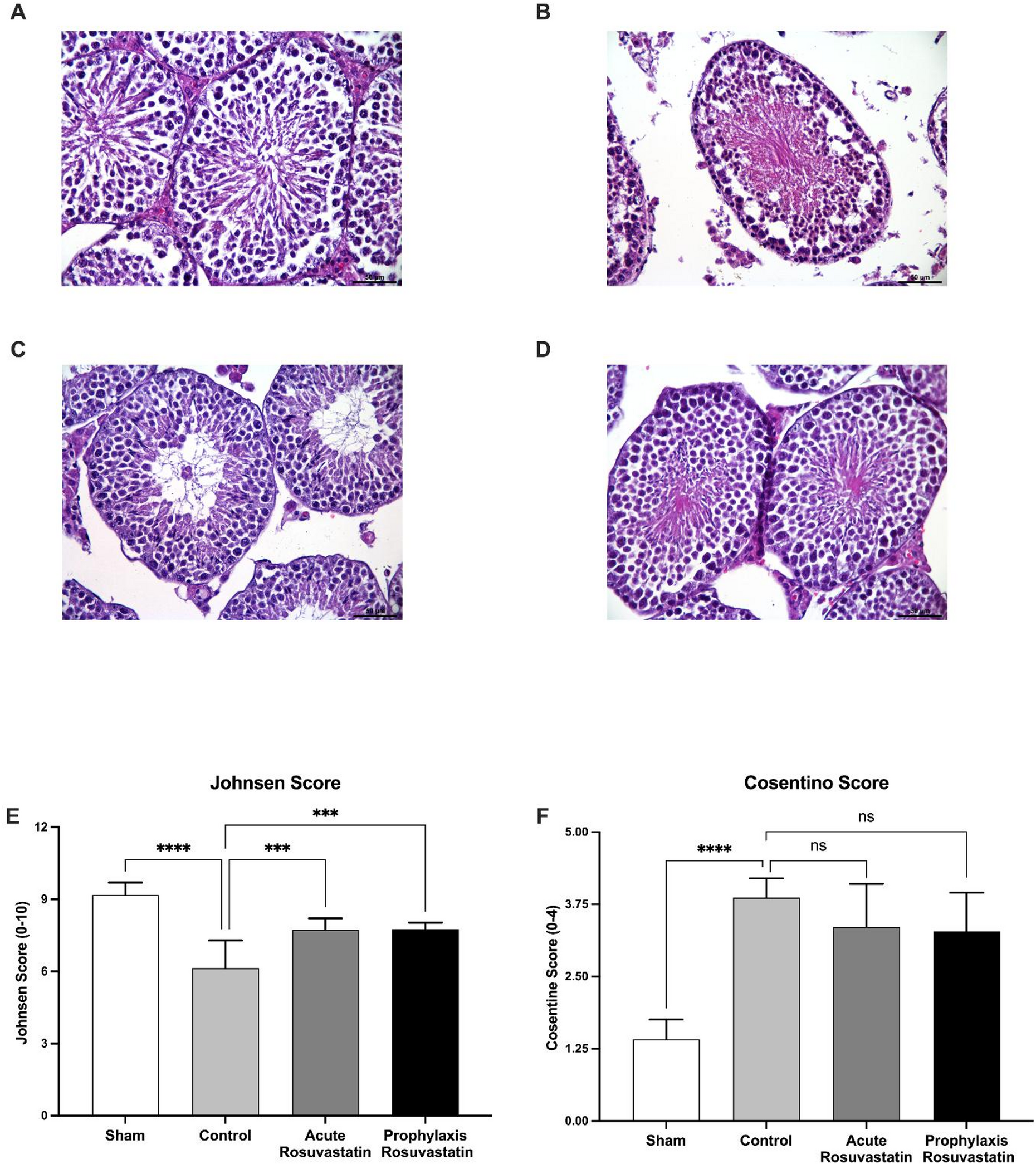
HMG-CoA reductase inhibition preserves testicular function after  torsion/detorsion by modulating oxidative stress and AKT signaling |  Scientific Reports

Camera Cymera For Pc Apps Beauty Camera Camera Cymera Download For Pc  Cymera Official

3GB7ZU270L : Honor Gear Pump, CCW Rotation, 70cc (4.27in3), 33.29 GPM,

Rigol DHO914 DHO900 Digital Oscilloscope 125 MHz 1.25 GS/s 12 Bit | eBay UK

鐘錶專題】錶壇最重要的雙年展!究竟什麼是Only Watch? - 鏡週刊Mirror Media

Titanium Drain Bolt - M14x1.25x12mm - Double Drive (KGO-3) – KurveyGirl

ICON 2024 Toyota Land Cruiser 250 Series, 1.25-3″ Lift, Stage 12 Suspension  System, Billet – Go4x4 – Offroad Center Wrocław

Large Adhesive Sneeze Guard Holders, Stable Glass Stands to Fasten Acrylic  Panels & Plexiglass Sheets 3/16

北區養護工程分局國道服務區>>中壢服務區>>活動剪影>>中壢服務區大年初五於賣場辦理發放財神爺發財金與糖果活動

After days of grinding and Lucille, I FINALLY GET THE ENGINEER! :  r/TDS_Roblox

魏宁海3月14日午评:回调结构,补缺为主_魏宁海_新浪博客

are I is is In 1.25 x 10 the shown figure, m₁ = 10 kg & m2 = 6 kg. 16. A ..

ALP3A-S-60-S1-FA : Marzocchi Gear Pump, CCW, 39cc (2.379in3), 18.54 GP

True Value WOODS CAMO RATCHET TIE-DOWNS - 1.25 INCH x 12 FT. - 2 PACK | WRS

A single-cell, spatial transcriptomic atlas of the Arabidopsis life cycle |  Nature Plants

MemoryStore Analytics seem inaccurate/unreliable - Creator Hub  (create.roblox.com) Bugs - Developer Forum | Roblox

Kettle Black Hedges

市场按兵不动静候美联储退市安排| SBS Chinese

GCSE Revision Cards: Sequences

Greg Wilson:

Large Adhesive Sneeze Guard Holders, Stable Glass Stands to Fasten Acrylic  Panels & Plexiglass Sheets 3/16

OUCHIE Adhesive Flex-Fabric Bandages | Assorted Shapes with Monster Pa –  Bombay Kids Company

RAM | STAAD Forum - Ram Connection-Can you have more than 2 columns of  bolts on a moment connected flange plate? - Communities

Philips Brilliance CT FRC Assembly 453567057164 REV B – part2Go

Winchester Super-X 12 Ga 3

Winchester Super-X 12 Ga 3

Marukome Chef Morimoto Miso Soup with Tofu and Seaweed 1.25 Oz (Pack of 12)

Division of Decimals (Tagalog/Filipino Math)

GHP3A-D-60-FA : Marzocchi Gear Pump, CW, 39cc (2.379in3), 18.54 GPM, 3

Home Select 1.25L Plastic Bath Mug | Vishal Mega Mart India

24+ LC250 1.25-3

BL330 PLUS Manual Mini Combination Lathe/Factory Price Multi-purpose Lathe

OOCLAS Desk Name Plate For Advocate, Lawyer Nameplates, Custom Sign Plate  on Crystal Clear Acrylic Glass Block In Size 12 X 3 X 1.25 Inches :  Amazon.in: Office Products

Discover Fun Dollar Tree Socks for Every Occasion

Demisexual Pride Flag Accessories 1.25 inch - Pins, Magnets, Keychains,  Shoe Charm | MakerPlace by Michaels

Hitman 3 Update 1.25 Adds Jean-Claude Van Damme This Dec. 12Hitman 3 Update  1.25 Adds Jean-Claude Van Damme This Dec. 12

Flexible subscription plans of Zoho Workplace vs Pricing plans of Google  Workspace | Zoho Workplace

Rustic Wood Risers Set 4 Piece Round Wood Display Risers - Paulownia Wood  Tiered Stands For Home Decor Tiered Tray

SD-1292 12-Digit Home and Office Calculator (Pink)

The thickness of the Schneiderian membrane was measured in the coronal... |  Download Scientific Diagram

40PC M8x1.25x32 Black 12 Point Wheel Bolts & M8 Nuts For 2/3 Piece Wheels  40pcs

Boss Thread in ICMECH | IronCAD Tutorial

2D昼夜光影系统

Bike & Ski Shop - Outdoor Recreation | Montana State University

Company Brochure Template Vol.10 - 20 Pages

White Cheddar Popcorn - Family Size | From Farm To Table Canada

Pickleball Essentials Gift Basket – Apple Blossom Gift Baskets

Food Menu - Mill River Taphouse

A4 Size - Pre-V2 Archive of Desktop Questions (macOS and Windows) -  Affinity | Forum

Pickleball Gift Box – Snacks & Essentials for Corporate Thank You,  Birthday, or Employee Appreciation - Etsy

Tiny Turler Mantel Clock Front.jpg | NAWCC Forums

Is this a bug? Starting with duplicate temples but no research labs :  r/Stellaris

Federal, PowerShok, 12 Gauge, 3″, Mag Dram, 1.25oz, Rifled Slug, Hollow  Point,5 Round Box – Kingdom Firearms

Maxim TC Tie-rod Hydraulic Cylinder: 3

The Lunchtime special is back and better! 1. African hot pizza and 4  chicken wings for 90 cedis 2. Shawarma and a bottle of Coke for 60 cedis 3.  A burger and

Penny Death Arbitrage! Pay in ca$h and make sure that all bills end in a 3  or 8. +2¢ profit on every purchase! : r/Money

ADJUSTABLE Iron Workers SPUD WRENCH 12

Garlic Cajun Chicken with Cheesy Mozzarella Linguine Ingredients: 1.25 lbs  boneless, skinless chicken breasts, thinly sliced 12 oz linguine pasta 2  tbsp olive oil 3 tbsp unsalted butter, divided 1 tbsp Cajun

Running Puma in AWS - GoDaddy Blog

It truly is a new era at Angels on Parade - Angels on Parade

12th Std Maths Example 1.25 Solve by Creamers rule x1-x2=3; 2x1+3x2+4x3=  17; X2+2x3= 7

Ariens Repair Part 06701400 - Cotter Pin, .12 X 1.25 Ext Prsqct | PartsTree

Micro 4/3 T-Mount Adapter For Olympus/Panasonic Cameras (M42 To 1.25

Genderqueer Pride Flag Accessories 1.25 inch - Pins, Magnets, Keychains,  Shoe Charm | MakerPlace by Michaels

Scosche SE12KT-WM1SD 12 in. Single Car Subwoofer India | Ubuy

Fence Gate Latch Lock Black Wrought Iron Gate Latch 12 Inch

Genderqueer Pride Flag Accessories 1.25 inch - Pins, Magnets, Keychains,  Shoe Charm | MakerPlace by Michaels

Report: How Australia Could Become a Leader in Plant Protein Ingredients -  vegconomist - the vegan business magazine

Travigo 3-Ring Zipper Business Leather Portfolio Folder| 1.25

第189首-主必快来-灵歌赞-基督教歌谱网基督教简谱网歌谱网诗歌下载五线谱钢琴谱圣歌韩国英文网站迦南诗赞美诗乐队总谱

Jet Inoue LED Aqua Crystal Cut Shift Knob. The shift knob of all shift  knobs! A great-looking shift knob to really top off your interior. Fill  with liquid, holographic flakes, bright Color

Mitsubishi Materials - Drill Cross-Reference List - Page 4-5

Taps And Dies M11 X 1.25 Bolt M11-1.25 TAPER TAP HSS - Metric Specialties  1.25 X 12 M8x1.25 Tap

Mcgard Lug Nuts McGard 27361 Black Bolt Style Cone Seat Wheel Lock Set (M12  X 1.25 Thread Lock

清泉姑娘

BDD30-50W - 三河市博电科技有限公司

Antique Spanish Toledo Dagger Engraved Fabrica De Toledo 1872, 1.25

Converting Rational Numbers (fractions, decimals and percentages) | PPTX

A nanoscale electrochemical guanine DNA-biosensor based on a flower-like  nanocomposite of Tb-doped ZnO for the sensitive determination of pemetrexed  - RSC Advances (RSC Publishing) DOI:10.1039/D3RA03983H

Titanium Drain Bolt - M14x1.25x12mm - Double Drive (KGO-3) – KurveyGirl

Ariens Repair Part 06701400 - Cotter Pin, .12 X 1.25 Ext Prsqct | PartsTree

File:Pageviews of the Uzbek and Russian Wikipedia in Uzbekistan.svg -  Wikimedia Commons

Does Baking Soda or Baking Powder Go Bad? Try This Test! | The Kitchn

Solved The table below gives forecast sales and actual sales | Chegg.com

10 M8-1.25 x 35mm 12 Point Flange 3 Piece Wheel Bolts: Buy Online at Best  Price in UAE - Amazon.ae

2000 Flushes Cleaner Toilet Bowl Bleach - 1.25 OZ 12 Pack

ALP3A-D-66-FA : Marzocchi Gear Pump, CW, 44cc (2.684in3), 20.91 GPM, 3

离深圳最近的惠州临深楼盘仅50米:大亚湾首域花园- 知乎

TKM(KIT) - Research - Wölfle Group

佳力牌圓型端子

Stellaris: Apocalypse | Machine Thoughts in Progress – Big Boss Battle (B3)

AR642-1250 - ARP 8740 CHROMOLY BOLTS 12-POINT HEAD 3/8

Womens Sweatsuit 3 Year AA Medallion Coin - Alcoholics Anonymous Sobriety  Chip In Blue, Black & White, 1.25 Inch 3 Year Aa Coin For Women

Home Weather Station AcuRite Iris PRO+ Weather Station Center W/ Wi-Fi  Display To Weather Underground Ambient Weather Station

16 февраль 0 0
2023 copyright text.